Over the years I get infrequent calls from all over asking me:
- Can I ‘fix’ the atlas bone
- In a visit
- For a hundred dollars
- Permanently
- Do I deliver? (just kidding)
My answer:
- if its broken I don’t treat fractures
- I haven’t even met you and may not even find your atlas is a problem
- If I could do all of those things with certainty I’d charge about $10000
- the only thing permanent is surgical fusion (oh and death and taxes)
- (By the way I have heard of people ‘sending’ healing down the phone line, for a fee. And it only works after the fee is paid)
Lifetime Achievement
The big excitement about the atlas being the potential cause and cure of all your diseases is not new. BJ Palmer in his wisdom, also made zealous claims, but he devoted a lifetime to the study of the upper cervical spine. And it made lots of sense.
He was the father of all atlas adjusting in the history of manual therapy, and strove to make it scientific. Sadly the research needs a massive kick along. It also seems that medical history writers just ignore he and his father as contributing anything of value to humanity. I guess Columbus really discovered America and Tesla was a dummy compared with Edison. No.
Buyer Beware
AtlasPROfilax®
Just think what you can learn in a weekend these days:
- life coach
- nutrition sales expert
- massage
- whatever… nothing too wrong with the above, but ‘buyer beware”!
This group uses capital letters and lower case in the same word so the perception is new and novel? And the little ‘r’ means someone might steal it its so good. It sure sounds it, check out these asserted “facts” from their site
- First cervical vertebra, atlas, is more or less malrotated form birth, in almost all humans. Complete and utter fiction, in my opinion
- A misalignment of the atlas leads to continuos pressure on the spinal cord No. Not always.
- The malrotation of the atlas vertebra can be accurately and safely corrected by the unique AtlasPROfilax® method with only one application. BIG claim. I would hate to be the person asserting it. I might appear an imbecile.
I could go on with more fun and games from Mr Shümperli, but it only powers his misinformation machine. Mind you, I know that these people get results, of course they do. I could teach you a quick massage or pressure point technique to that area that will cure at least 30%.
Atlas Reconnect
This groups web site is all but absent it seems of late, but its more of the same pretty much. They get amazing results by putting pressure around where the top of the neck originates, apparently so. These guys got into legal issues with cure claims and have gone under the radar for now.
Whats my Problem?
Now I do not begrudge the advancement of healing outside of regulated and scientific rigour. I do not think that a medical degree actually makes you any smarter than anyone else. Same for chiropractic. But the benefits of an anatomy degree, a masters in chiropractic radiological and neuromusculoskeletal diagnosis and another few years of post graduate learning has an advantage akin to:
- When to know when NOT to treat
- When to know when to refer for emergency care
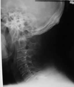
- When to know if there may be no atlas at all?! (see x ray below)
- The significance of full spine anatomy to the atlas
- Is there Arnold-Chiari malformation?
- Is there Rheumatoid instability?
- what other indications for NON treatment are there?
- When is imaging and x ray helpful?
- … et cetra.
I rest my case.
How on earth can someone think that you can mess with the delicate area of the neck, and also pretend to do a one-fix, with a weekend course?
Learning a technique is easy, building a profession is harder – Dr Vern Hagen, Palmer College professor
Oh one other piece of evidence:
Shümperli * stated quite clearly that the atlas misalignment is ALIEN in origin. What?
I quote Dr T Groover
Atlas Profilax was touted by a group of people who believed humans beings were originally slaves placed on earth and colonized by aliens to mine gold. The aliens needed this gold to replenish their atmosphere. To keep the humans under control, the aliens installed limiters or regulators into the human physiology. By intentionally miss-aligning the human’s upper cervical spine the aliens were more able to control them. The website claimed these limiters were inherited generation after generation unless they were removed. It recommended Atlas Profilax for removing the upper cervical misalignment limiter. Atlas Profilax proponents claim, with significant emphasis, that Atlas Profilax is not a chiropractic adjustment.
Now I have to sit down and rest my case for real. Ciao,
Joseph Ierano BSc DC BCAO


*do you know how hard it is to get those dots over the ‘U’? Looks like my traditional ” Ieranó “, when I am feeling special.
